Hizmetlerimiz

Kayseri Ağız ve Diş Sağlığı Polikliniği

Kayseri Ağız ve Diş Sağlığı Merkezi kapsamında sunduğumuz tedavilerimiz hakkında detaylı bilgiye bu bölümden ulaşabilir, birim ile ilgili hizmet veren hekimimize sorularınızı sorabilirsiniz. Kayseri ağız ve diş sağlığı alanında uzman ekibimizle size hizmet sunmaktan memnuniyet duyarız.

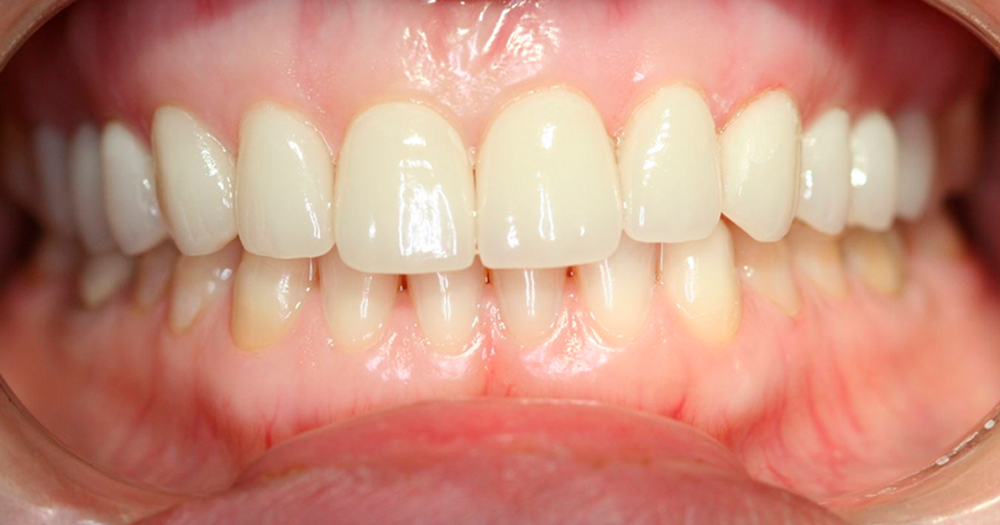
Gülüş Tasarımı
Gülüş Tasarımı

Gülüş tasarımı tamamen kişiye özel ancak bütüncül ve multidisipliner bir tedavidir.

devamını oku
Diş Beyazlatma Tedavisi
Diş Beyazlatma Tedavisi

Beyazlatma; diş renginin kimyasal bir ajan kullanılarak, organik yapısındaki pigmentasyonun oksidasyonu ile açılması işlemine denir. Yani renklenmiş bölgelerin kimyasal ajanlar kullanılarak renginin açılması işlemidir.

devamını oku
İmplant
İmplant

Dental implant cerrahisi, diş köklerini metal, vida benzeri yapılarla değiştiren ve hasarlı veya eksik dişleri, gerçek dişlere çok benzeyen ve işlev gören yapay dişlerle değiştiren bir prosedürdür.

devamını oku
Diş Dolgusu
Diş Dolgusu

Diş dolgusu çürümüş, kırılmış veya herhangi bir nedenden dolayı harabiyet görmüş dişlere uygulanmaktadır. Deforme olmuş dişlere, tedavi sonrası eski görünümü ve fonksiyonu kazandırılır.

devamını oku
Kanal Tedavisi
Kanal Tedavisi

Kanal tedavisi, enfeksiyonun ortadan kaldırılması ve dekontamine olmuş dişin gelecekteki mikrobiyal istiladan korunması ile sonuçlanması amaçlanan bir dişin enfekte pulpası için bir tedavi dizisidir.

devamını oku
Zirkonyum Diş Kaplama
Zirkonyum Diş Kaplama

Zirkonyum periyodik cetvel de yer alan belirli özelliklere sahip bir metal türüdür. Birçok alanda kullanıldığı gibi günümüzde diş hekimliğinde yaygın olarak kullanılmaktadır.

devamını oku
Ortodonti
Ortodonti
Diş tedavisi ile güzel gülüşlere kavuşun

Ortodonti; orthos ve dontos kelimelerinden köken almış latince bir terimdir. Düzgün dişler anlamına gelir. 

devamını oku
İmplant
İmplant tedavisi ile sağlıklı dişlere kavuşun

Dental implant cerrahisi, diş köklerini metal, vida benzeri yapılarla değiştiren ve hasarlı veya eksik dişleri, gerçek dişlere çok benzeyen ve işlev gören yapay dişlerle değiştiren bir prosedürdür.

devamını oku
İmplant
Cafediş Hakkında
Cafediş Hakkında

Mükemmel gülümsemeyi yaratmak için kişiselleştirilmiş bir yaklaşım

2020 yılında diş hekimliği alanında hizmet vermeye başlayan Cafediş ağız ve diş sağlığı polikliniği tüm branşlarda gerçekleştirdiği tedavilerini çalışanların ve hastaların severek geleceği sıcak bir ortamda gerçekleştirmeyi hedeflemiş, tüm alt yapısını bunun üzerine kurgulamıştır.

devamını oku
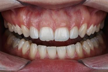
Bembeyaz Gülüşler

Gülüşünüz Yeniden Parlasın

Kayseri'de Bleaching ve Gülüş tasarımı uygulamaları ile gülüşünüzdeki aydınlığı çevrenize yansıtın

Bembeyaz Gülüşler
Bizimle İletişime Geç

Cafediş Ağız ve Diş Sağlığı Polikliniği

Uluslararası standartlardaki sağlık hizmetini, güçlü teknolojik alt yapısıyla sunan Cafediş, başta implant ve gülüş estetiği olmak üzere tüm ağız ve diş sağlığına dair tedaviler gerçekleşmektedir. Siz de bizimle iletişime geçin ve hemen uluslararası hizmet kalitesinden yararlanın.

İletişim

Bizimle iletişime geçmekten çekinmeyin

0352 504 35 04 info@cafedis.com

Adres

Gevher Nesibe Mahallesi Gök Geçidi Sokak No:8 Daire:1, 38110 Kocasinan/Kayseri
Blog

Güncel Bloglarımızı İnceleyin

Diş Taşı Temizliği Sonrası
Diş Taşı Temizliği Sonrası

Diş taşı temizliği ardından ağzınızda neler değişiyor? İlk andan itibaren nelere dikkat etmelisiniz ve uzun vadede ağız sağlığınızı nasıl koruyabilirsiniz?

devamını oku
Zonklayan Diş Ağrısına Ne İyi Gelir?
Zonklayan Diş Ağrısına Ne İyi Gelir?

Diş ağrısından geceleri uyuyamıyor musunuz? Ağrı kesiciler bile fayda etmiyorsa, sorunun kaynağı daha derinlerde olabilir. Belki de kulağınıza vuran o dayanılmaz ağrının sebebi bambaşka bir şeydir. Gelin, bu gizemli ağrının sırlarını birlikte çözelim.

devamını oku
İmplant Vidası Takıldıktan Sonra Diş Ne Zaman Takılır?
İmplant Vidası Takıldıktan Sonra Diş Ne Zaman Takılır?

İmplant vidası takıldıktan sonra dişlerinize ne zaman kavuşacaksınız? İyileşme süreci nasıl işler ve bu süreci hızlandırmak için neler yapabilirsiniz?

devamını oku
Diş Kaplama Çeşitleri
Diş Kaplama Çeşitleri

Diş kaplama yaptırmayı mı düşünüyorsunuz? Peki, hangi kaplama çeşidinin sizin için en uygun olduğunu biliyor musunuz?

devamını oku
Periodontoloji Nedir?
Periodontoloji Nedir?

Diş etlerinizde kanama mı oluyor? Diş kaybını önlemek ve sağlıklı bir gülüşe sahip olmak için periodontistlerin neler yaptığını merak ediyor musunuz?

devamını oku
Damak Genişletme
Damak Genişletme

Çene yapınızın nefes alışınızı ve gülüşünüzü nasıl etkilediğini hiç merak ettiniz mi? Dar bir üst çene, hem sağlık hem de estetik sorunlara yol açabilir ve bu sorunların çözümü mümkün.

devamını oku
Alt Çenenin Önde Olması
Alt Çenenin Önde Olması

Çene yapınızın yüz ifadenizi ve sağlığınızı nasıl etkilediğini hiç düşündünüz mü? Alt çenenin önde olması, sadece estetik değil, aynı zamanda ciddi sağlık sorunlarına da yol açabilir.

devamını oku
Diş Ağrısına Ne İyi Gelir?
Diş Ağrısına Ne İyi Gelir?

Diş ağrısı mı çekiyorsunuz? Anında rahatlama sağlayacak doğal ve hızlı çözümlerle tanışın! Hangi yöntemlerin en etkili olduğunu öğrenin ve ağrıyı kalıcı olarak nasıl gidereceğinizi keşfedin.

devamını oku
Rezorpsiyon Nedir?
Rezorpsiyon Nedir?

Vücudunuzun gizemli bir şekilde dokuları yok ettiğini biliyor muydunuz? Bu süreç, sağlığınızı nasıl etkiler ve hangi durumlarda tehlikeli hale gelir?

devamını oku
Gingival Nedir?
Gingival Nedir?

Diş etlerinizin sağlığı, genel sağlığınızın aynası olabilir mi? Diş etlerinizdeki değişimlerin ardındaki sırları ve nasıl korunacağınızı öğrenmeye hazır mısınız?

devamını oku
Diş Sızlamasına Ne İyi Gelir?
Diş Sızlamasına Ne İyi Gelir?

Diş sızlaması kabusunuz mu oldu? Doğal ve pratik yöntemlerle bu sorundan nasıl kurtulabileceğinizi öğrenmek ister misiniz?

devamını oku
Diş temizleme
Diş temizleme

Diş temizliğinin ağız sağlığınız üzerindeki etkilerini biliyor musunuz? Evde ve profesyonel olarak uygulanan yöntemlerle dişlerinizi nasıl daha sağlıklı tutabileceğinizi keşfedin.

devamını oku
Çarpık Diş
Çarpık Diş

Çarpık dişler yalnızca estetik bir sorun değil, sağlık için de önemli. Peki, çarpık dişler neden oluşur ve nasıl tedavi edilir? Telsiz çözümlerden cerrahi yöntemlere kadar merak edilen tüm detayları keşfedin!

devamını oku
Overbite
Overbite

Overbite neden oluşur ve tedavi edilmezse hangi sorunlara yol açabilir? Üst dişlerin önde olması durumunda hangi tedavi yöntemleri daha etkili? Bu soruların yanıtlarını öğrenmek ve sağlıklı bir gülüş için hangi adımları atmanız gerektiğini keşfetmek için okumaya devam edin.

devamını oku
Görünmez (Lingual) Diş Teli
Görünmez (Lingual) Diş Teli

Diş teli tedavisi, milyonlarca kişi tarafından tercih edilse de, görünümünü beğenmeyenler için geleneksel metal braketlerin görünüşü tedaviye başvurmanın önünde bir engel oluşturabiliyor. Bu soruna çözüm olarak, neredeyse görünmez olan lingual braketler gibi alternatifler sunuluyor. Dişlerin arka tarafına sabitlenen bu braketler sayesinde, tedavi sürecinde estetik kaygılar yaşamadan sağlıklı ve güzel bir gülüşe kavuşmak mümkün hale geliyor.

devamını oku
İmplant Sonrası Beslenme
İmplant Sonrası Beslenme

İmplant sonrası beslenme süreci, iyileşmenin anahtarıdır! İmplant ameliyatı sonrası hangi yiyeceklerden uzak durmanız gerektiğini ve hızlı toparlanmayı nasıl sağlayacağınızı öğrenin. Kemik tozu ameliyatı sonrası beslenme ipuçları ve süt ürünlerinden neden kaçınılması gerektiğiyle ilgili önemli bilgiler bu rehberde sizi bekliyor. İmplantınızın sağlığı için hangi besinleri tüketmelisiniz? Şimdi keşfedin!

devamını oku
Diş Teli Renkleri: Mükemmel Görünümü Seçmek İçin İpuçları
Diş Teli Renkleri: Mükemmel Görünümü Seçmek İçin İpuçları

Diş teli renkleri, kişisel tarzınızı ifade etmenin ve gülüşünüzü kişiselleştirmenin eğlenceli bir yoludur. Renk seçimi, hem estetik görünümü hem de kendinizi güvende hissetmenizi sağlayacak bir deneyimdir. Her cinsiyet ve yaş grubu için uygun seçenekler bulunmaktadır ve renk tercihleriniz, kişisel tarzınızı ve profesyonel imajınızı yansıtmalıdır.

devamını oku
Neden Orta Yaşlarda ya da Daha Sonrasında 20 lik Dişlerinizi Çektirmelisiniz?
Neden Orta Yaşlarda ya da Daha Sonrasında 20 lik Dişlerinizi Çektirmelisiniz?

Yirmilik dişler, gençlerde ve çocuklarda yaygın sorunlara yol açtığı bilinen bir konudur, ancak insanların çoğu fark etmediği şey, bu durumun orta yaşlılarda da sorunlara neden olabileceğidir.

devamını oku
Kuru Fırçalama: Nedir ve Neden Önem Vermelisiniz?
Kuru Fırçalama: Nedir ve Neden Önem Vermelisiniz?

Birçok kişi diş fırçalamayı sadece diş macunu ve su kullanarak yapmanın sağlıklı bir alışkanlık olduğunu bilmiyor olabilir. Ancak, bu doğru!

devamını oku
Hutchinson Dişleri
Hutchinson Dişleri

"Hutchinson Dişleri", sifiliz enfeksiyonunun bir belirtisidir ve dişlerin üçgen veya çivi şeklinde görünmesiyle kendisini belli eder. Bu durum, genellikle dişler arasında geniş boşluklar ve zayıflamış mine ile birlikte ortaya çıkar.

devamını oku
Biberon Çürüğü
Biberon Çürüğü

Bebeklerde ve küçük çocuklarda sıkça görülen bir sorundur ve genellikle şekerli içeceklerin sık tüketimiyle ilişkilendirilir. Bu çürükler genellikle ön dişlerde meydana gelir ve uygun diş hijyeni ve temizliği ile önlenebilir. Ebeveynler, bebeklerinin dişlerini düzenli olarak temizlemeli ve sağlıklı alışkanlıkları öğretmelidirler.

devamını oku
Maloklüzyon
Maloklüzyon

Kötü kapanış veya maloklüzyon, yaygın diş problemlerinden biridir. Bu durumda, ağzınızı kapattığınızda üst ve alt dişleriniz düzgün bir şekilde hizalanmaz. Maloklüzyon genellikle ortodontik tedaviler veya diş telleri kullanı
larak düzeltilir. Daha şiddetli maloklüzyon vakalarında ise cerrahi müdahale gerekebilir.

devamını oku
Invisalign Tedavisine Başlamadan Önce Bilmeniz Gereken 9 Şey
Invisalign Tedavisine Başlamadan Önce Bilmeniz Gereken 9 Şey

Invisalign'ı geleneksel diş tellerine alternatif olarak mı düşünüyorsunuz? Tedaviye başlamadan önce bilmeniz gereken birkaç şey var. 

devamını oku
Eklem Problemlerinde Ortodontik Tedavinin Rolü
Eklem Problemlerinde Ortodontik Tedavinin Rolü

Eklem problemleri birçok sebepten kaynaklanabilir. Toplumun %50-75'inde görülmesine karşılık bu şikayetle hekime başvuran hasta sayısı bu oranın çok altındadır. 

devamını oku
Yer Tutucu Nedir ve Neden Gereklidir?
Yer Tutucu Nedir ve Neden Gereklidir?

Yer tutucular, kaybedilen süt dişlerinin yerine daimî dişler için yer açan, sabit veya hareketli apareylerdir.

devamını oku
Dudak Damak Yarıkları
Dudak Damak Yarıkları

Yarık dudak ve damak, gebeliğin ilk aylarında bebeğin gelişimi sırasında yüz bölgesindeki yapıların birleşimindeki kusur sonucu oluşur.

devamını oku
Diş Hekimliğinde Botoks
Diş Hekimliğinde Botoks

Botulinum anaerob bakteri olan Clostridium Botulinum tarafından üretilen bir nörotoksindir. 7 farklı serotipi olmakla birlikte yara bölgesinden enfekte olma ya da etkilenmiş konserve tüketimi kaynaklı zehirlenmelere yol açan serotipleri vardır.

devamını oku
Horlama Nedir ve Neden Olur?
Horlama Nedir ve Neden Olur?

Horlama uyku sırasında üst solunum yollarından geçen havanın boğazdan geçişi sırasında yumuşak dokuların titreşimi duyulan sestir. Horlamanın şiddeti solunum yolunun ne kadar daraldığına göre değişir.

devamını oku
Diş ağrısı
Diş ağrısı

Diş ağrıları bir dizi sebepten kaynaklanabilir — diş etlerinizde sıkışmış bir mısır kabuğundan çatlamış bir dişe ve bakteriyel enfeksiyona kadar pek çok farklı etken. Geçici diş eti tahrişi, bazı ağrıları tetikleyebilir; ancak ciddi diş ağrıları için profesyonel müdahale kaçınılmazdır. Unutulmaması gereken şey, sağlıklı gülüşlerin temelinde düzenli diş bakımının yattığıdır.

devamını oku
Overjet Nedir?
Overjet Nedir?

Overjet nedir? Dişlerin doğal dizilimini nasıl etkiler ve hangi tedavi yöntemleriyle düzeltilebilir? Diş telleri, kaplamalar ve daha fazlasıyla gülüşünüzü yeniden şekillendirin. Tedavi süreci hakkında detayları keşfedin!

devamını oku
Kayseri Ortodonti (Diş Teli Tedavisi)
Kayseri Ortodonti (Diş Teli Tedavisi)

Daha düzgün bir gülüşe sahip olmak için hangi adımları atmanız gerektiğini merak ediyor musunuz? Diş teli tedavisinin detayları ve Kayseri'de bu hizmeti nasıl alabileceğinizi öğrenmek için okumaya devam edin.

devamını oku
Kompozit Lamina
Kompozit Lamina

Diş estetiğinizi hızlı ve minimal müdahale ile iyileştirmek mi istiyorsunuz? Kompozit lamina, doğal görünüm sağlayan ve ekonomik bir çözüm arayanlar için ideal bir seçenek olabilir.

devamını oku
Diş Sızlaması
Diş Sızlaması

Dişlerdeki ağrıyı hafifletmek için neler yapabileceğinizi mi merak ediyorsunuz? Sızlamanın sebeplerini ve en etkili tedavi yöntemlerini öğrenmek için okumaya devam edin!

devamını oku
Nimet Bayraktar Ağız ve Diş Sağlığı Hastanesi (Sevk)
Nimet Bayraktar Ağız ve Diş Sağlığı Hastanesi (Sevk)

Nimet Bayraktar Diş Hastanesinden kliniğimiz ortodonti bölümüne sevk hastalarını kabul ediyoruz. SGK ile anlaşması olan kliniğimize sevk ile gelirseniz, tedavi maliyetinizin bir kısmı SGK tarafından karşılanacaktır. Böylece tedavi maliyetinizin bir kısmı devlet tarafından karşılacak ve bütçeniz rahatlayacaktır.

devamını oku
Diş Teli Fiyatları
Diş Teli Fiyatları

2026 yılı ortodonti fiyatları, Türk Dişhekimleri Birliği (TDB) tarafından açıklanan tarifelere dayanmaktadır. Diş teli fiyatları 1.675 TL ile 95.700 TL arasında değişmekte olup; tedavi yöntemi, kullanılan ekipman ve uygulamanın zorluğuna göre farklılık gösterebilir. Özel diş kliniklerinde diş teli fiyatları; hekimin uzmanlık düzeyi ve kullanılan malzemelere bağlı olarak değişiklik gösterebilir. TDB’nin belirlediği 2026 ortodonti fiyatları aşağıda listelenmiştir: Hastaya özel tedavi ve fiyat için muayene olmanız gerekir.

devamını oku
Geçmeyen Diş Enflamasyonu (iltihabı)
Geçmeyen Diş Enflamasyonu (iltihabı)

 Diş enflamasyonu, pulpa dokusunun veya periapikal dokuların mikrobiyal, mekanik veya kimyasal uyaranlara karşı verdiği immün (bağışıklık) yanıttır. Bazı durumlarda enflamasyon, standart endodontik tedavilere rağmen "inatçı" (persistent) bir hal alarak kronikleşir.  Geçmeyen diş enflamasyonunun nedensel faktörlerini, biyofilm direncini ve güncel tedavi protokolleri aşagıda yer almaktadır.

devamını oku
×
X